Retour à la bibliothèque

Au delà des apparences.

Publiée le 25/04/2026

Fanny JOUJOU pour la SFECHO

Une patiente se présente pour une échographie abdominale dans le cadre d’une sarcoïdose.

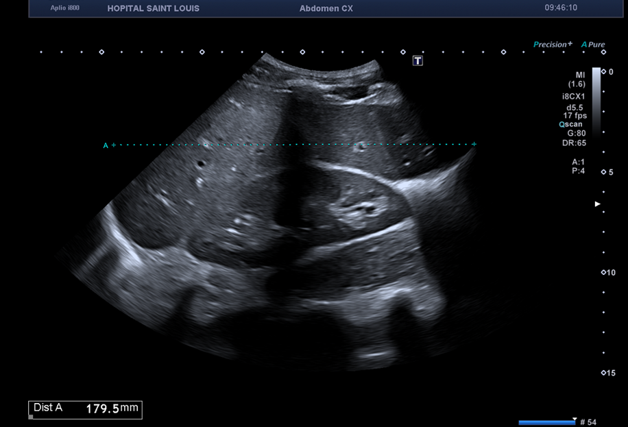
L’échographiste utilise une sonde convexe abdominale de basse fréquence pour réaliser l’examen et détecte un foie homogène, augmenté de taille, sans lésion focale.

Ici, la flèche hépatique est mesurée devant le rein droit, elle aurait pu être mesurée sur la ligne médio claviculaire droite.

Le morphotype du patient (longiligne, bréviligne…) doit être pris en considération avant de conclure à une hépatomégalie.

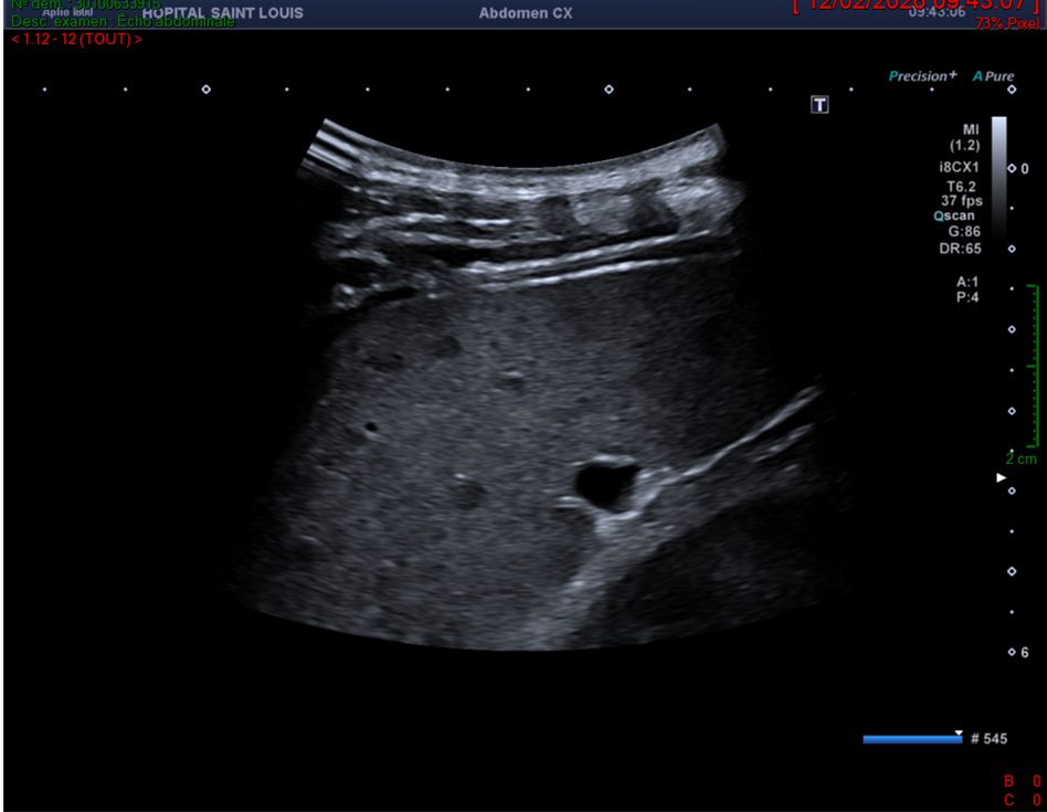
La rate semble homogène de taille normale avec une fréquence de 5.5MHz sur une sonde abdomninale.

Cependant, sur cette image la profondeur et la focale sont mal réglées. En effet la profondeur doit être adaptée à l’organe étudié, et sur cette image, il y a trop de profondeur. La focale aurait pu aussi être ajustée, en la remontant.

L’échographiste aurait pu arrêter son exploration là et conclure uniquement à une hépatomégalie homogène sans lésion focale ; mais il décide de la poursuivre en améliorant ses réglages et en utilisant des fréquences plus élevées. Il ne détecte rien de plus sur le parenchyme hépatique.

En revanche, voici le résumé des balayages qu’il effectue sur la rate en optimisant ses réglages (focale, fréquences et profondeur).

Rate avec utilisation d’une fréquence à 6.2MHz sur une sonde convexe.

Rate étudiée avec une sonde linéaire de haute fréquence de 18MHz.

Rate étudiée avec une sonde linéaire de haute fréquence de 18MHz et Doppler de Haute Résolution (ADF).

 

La rate est le siège de plusieurs nodules hypoéchogènes, infracentimétriques, non vascularisés au Doppler de Haute Résolution..

Si l’échographiste s’était contenté de la plus basse fréquence ,sans régalage préalable ( focale, profondeur et fréquence) il ne les aurait pas détectés.

La sarcoïdose (également appelée maladie de Besnier-Boeck-Schaumann) est une maladie inflammatoire systémique dont la cause est encore inconnue.

Elle atteint préférentiellement les poumons, mais peut atteindre n’importe quel organe. Elle se manifeste par la présence d’amas de cellules inflammatoires nommés granulomes.

Dans le cadre d’une échographie abdominale réalisée dans un contexte de sarcoïdose, il faut toujours rechercher :

- une hépatomégalie,

- une splénomégalie,

- des adénomégalies,

- des nodules de sarcoïdose sur le foie et la rate (en augmentant systématiquement la fréquence d’exploration et en adaptant la profondeur et la focale).

L'échographiste doit absolument effectuer les bons réglages afin de percevoir les nodules hypoéchogènes intra-parenchymateux du foie et de la rate.

Inscrivez-vous à notre newsletter

Pour recevoir toutes les informations concernant les prochaines éditions des journées d'échographie multidisciplinaire ainsi que les actualités de la SFÉcho, inscrivez-vous à notre newsletter.