Bibliothèques

Un tronc porte soufflant le chaud et le froid

Un tronc porte soufflant le chaud et le froid

25/04/2026

Lire la suite
Quand des "tendinopathies achilléennes" cachent un piège poplité : l’importance de l’échographie dynamique et de l'examen clinique concomitant

Quand des "tendinopathies achilléennes" cachent un piège poplité : l’importance de l’échographie dynamique et de l'examen clinique concomitant

27/02/2026

Lire la suite
La question de l'étudiant. Février 2026

La question de l'étudiant. Février 2026

01/03/2026

"Mais dites donc la SFEcho quelle est la différence entre le mode Doppler Couleur et le Doppler Énergie ?"

Lire la suite
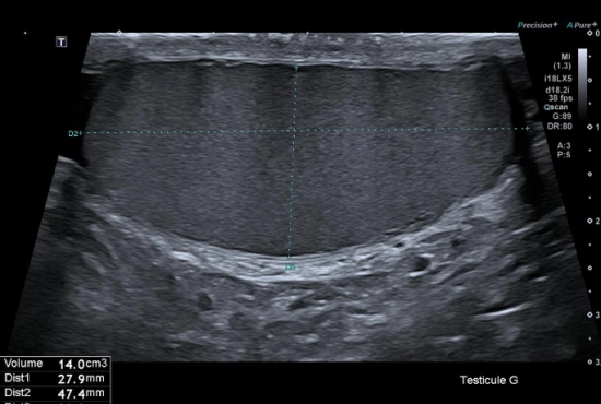
"Quand une douleur testiculaire cache une hernie inguinale : l'importance de l'exploration systématique des orifices herniaires"

"Quand une douleur testiculaire cache une hernie inguinale : l'importance de l'exploration systématique des orifices herniaires"

25/04/2026

Lire la suite
Un déficit moteur – Une échographie peu contributive (myxœdème)

Un déficit moteur – Une échographie peu contributive (myxœdème)

25/04/2026

Lire la suite
Quand une lésion en cache une autre...

Quand une lésion en cache une autre...

25/04/2026

Lire la suite
Echographie de la face antérieure de la cheville

Echographie de la face antérieure de la cheville

24/12/2025

Lire la suite
1 2

Inscrivez-vous à notre newsletter

Pour recevoir toutes les informations concernant les prochaines éditions des journées d'échographie multidisciplinaire ainsi que les actualités de la SFÉcho, inscrivez-vous à notre newsletter.