Retour à la bibliothèque

De l’importance du transcrânien

Publiée le 25/04/2026

par le Dr Carole FREY pour la SFECHO

 

Nous recevons en consultation un patient de 82 ans pour surveillance d’une sténose de l’artère sous clavière dans son segment pré vertébrale.

Cliniquement le patient ne présente aucune symptomatologie sur le membre supérieur, ni vertiges.
Les précédents examens ne mentionnent pas de Doppler Transcrânien, ni de manœuvre dynamique.
Nous réalisons donc l’examen.

Nous retrouvons sans difficulté la sténose serrée de l’artère sous clavière gauche dans son segment prévertébral avec accélération des vitesses systoliques maximales et dispersion spectrale.

Il n’existe pas de démodulation au repos en aval de la sténose sur l’artère sous clavière.

Il existe cependant un retentissement sur l’artère vertébrale gauche, avec un vol vertébro sous clavier intermittent : inversion uniquement du flux systolique.

Dans les cas plus évolués, l’inversion est systolo diastolique (vol permanent).

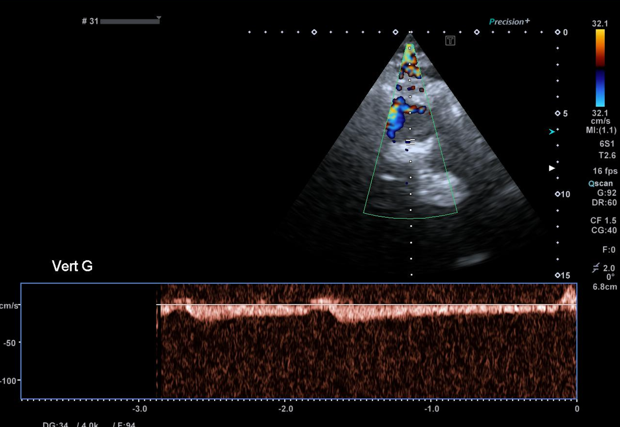
Un complément par Doppler Transcrânien est réalisé afin d’évaluer le retentissement intracrânien et rechercher un insuffisance vertébro-basilaire.

Au repos, on retrouve un retentissement en intracrânien en V4 un tracé similaire que sur  l’artère vertébrale en V2. Il n’existe pas de retentissement sur le tronc basilaire, bien compensé par la vertébrale controlatérale.


Nous réalisons une manœuvre d’hyperhémie post ischémique afin de démasquer une insuffisance vertébro basilaire à l’effort, qui est une indication opératoire.
Un brassard est donc gonflé au bras homolatérale à une pression supérieure à la tension artérielle du patient . Le patient débute alors des exercices musculaires à type de contractions répétés du poing.

Chez un sujet sain, la compression et la décompression à l’aide du brassard ne modifient pas le flux sur la vertébrale et sur le tronc basilaire.

En cas de vol, la compression à l’aide du brassard pourra normaliser le flux sur la vertébrale (les besoins en oxygène ayant diminué suite à la compression de l’artère humérale par le brassard).

A la levée du garrot, surtout après effort , le vol sera plus marqué et permettra de démasquer un vol sur le tronc basilaire.

 

Chez ce patient ; on retrouve un vol sur le tronc basilaire traduisant une insuffisance vertébro-basilaire à l’effort. Cette insuffisance pose l’indication opératoire, le patient est adressé au chirurgien.

Inscrivez-vous à notre newsletter

Pour recevoir toutes les informations concernant les prochaines éditions des journées d'échographie multidisciplinaire ainsi que les actualités de la SFÉcho, inscrivez-vous à notre newsletter.