Retour à la bibliothèque

"Quand une douleur testiculaire cache une hernie inguinale : l'importance de l'exploration systématique des orifices herniaires"

Publiée le 25/04/2026

Dr Yassine BENARBIA pour la SFECHO

Patient de 35 ans consulte pour douleur testiculaire gauche intermittente évoluant depuis plusieurs semaines.

L'examen clinique retrouve une douleur à la palpation testiculaire gauche, sans masse scrotale palpable, sans fièvre ni contexte traumatique.

Une échographie testiculaire est donc réalisée. Diagnostic ? 

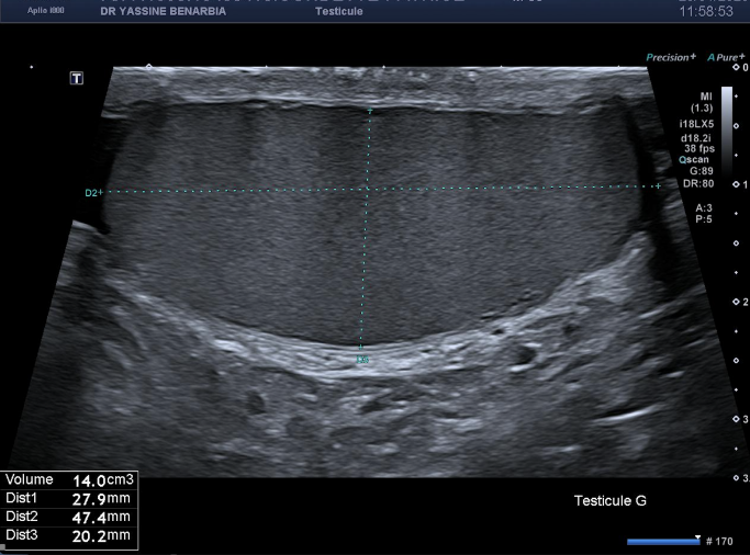
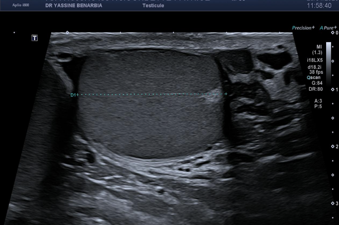
L'échographie retrouve des testicules de morphologie, taille et vascularisation strictement normales bilatéralement. Les épididymes sont également normaux, sans signe d'inflammation. Le Doppler couleur montre une vascularisation testiculaire symétrique et physiologique.

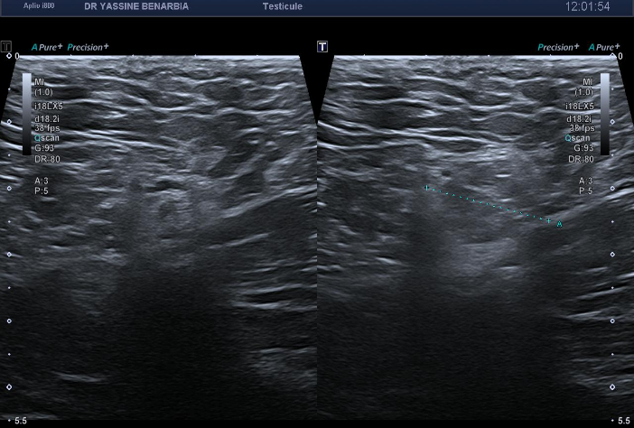
L'exploration de la région inguinale est donc réalisée révélant une hernie inguinale gauche indirecte avec un sac herniaire contenant des anses grêliques lors des manœuvres de Valsalva. Le collet herniaire mesure 20 mm lors de l'hyperpression abdominale. La hernie est parfaitement réductible et ne présente aucun signe de complication (péristaltisme conservé, paroi digestive fine, vascularisation normale au Doppler).

Il s'agit donc d'une hernie inguinale gauche indirecte non compliquée responsable de la symptomatologie douloureuse testiculaire.

La douleur testiculaire est un motif fréquent de consultation en échographie. Dans une proportion significative de cas, l'examen testiculaire est strictement normal et la cause se situe en dehors du scrotum, notamment au niveau de la région inguinale.

La hernie inguinale indirecte suit le trajet du cordon spermatique et peut générer une douleur testiculaire par traction mécanique intermittente sur le cordon, compression des structures vasculo-nerveuses. Le caractère intermittent de la douleur est un élément clinique clé évocateur d'une pathologie mécanique dynamique.

L'échographie scrotale doit SYSTÉMATIQUEMENT inclure l'exploration de la région inguinale bilatérale, particulièrement lorsque l'examen testiculaire est normal. Les manœuvres dynamiques (Valsalva, toux, position debout) sont indispensables pour démasquer les hernies intermittentes ou réductibles spontanément.

Les signes échographiques à rechercher sont : visualisation du sac herniaire à l'orifice inguinal, contenu herniaire (digestif avec péristaltisme visible), mesure du collet au repos et au Valsalva, test de réductibilité, et recherche de signes de complication (irréductibilité, absence de péristaltisme, épaississement pariétal digestif, absence de vascularisation au Doppler).

De nombreuses hernies inguinales ne sont pas palpable cliniquement et peuvent passer inaperçues d’où l’intérêt de l'échographie dynamique qui présente une sensibilité diagnostique supérieure à celle de l'examen clinique pour le diagnostic de hernie inguinale, en particulier pour les hernies de petite taille.

L'exploration systématique des orifices herniaires avec manœuvres dynamiques doit devenir un réflexe diagnostique en échographie scrotale, au même titre que l'analyse Doppler de la vascularisation testiculaire.

Pour en savoir plus sur les techniques avancées de détection des hernies inguinales, les pièges diagnostiques à éviter, et découvrir d'autres cas cliniques passionnants, venez découvrir la suite au Congrès de la SFECHO le 6 et 7 février !

Inscrivez-vous à notre newsletter

Pour recevoir toutes les informations concernant les prochaines éditions des journées d'échographie multidisciplinaire ainsi que les actualités de la SFÉcho, inscrivez-vous à notre newsletter.